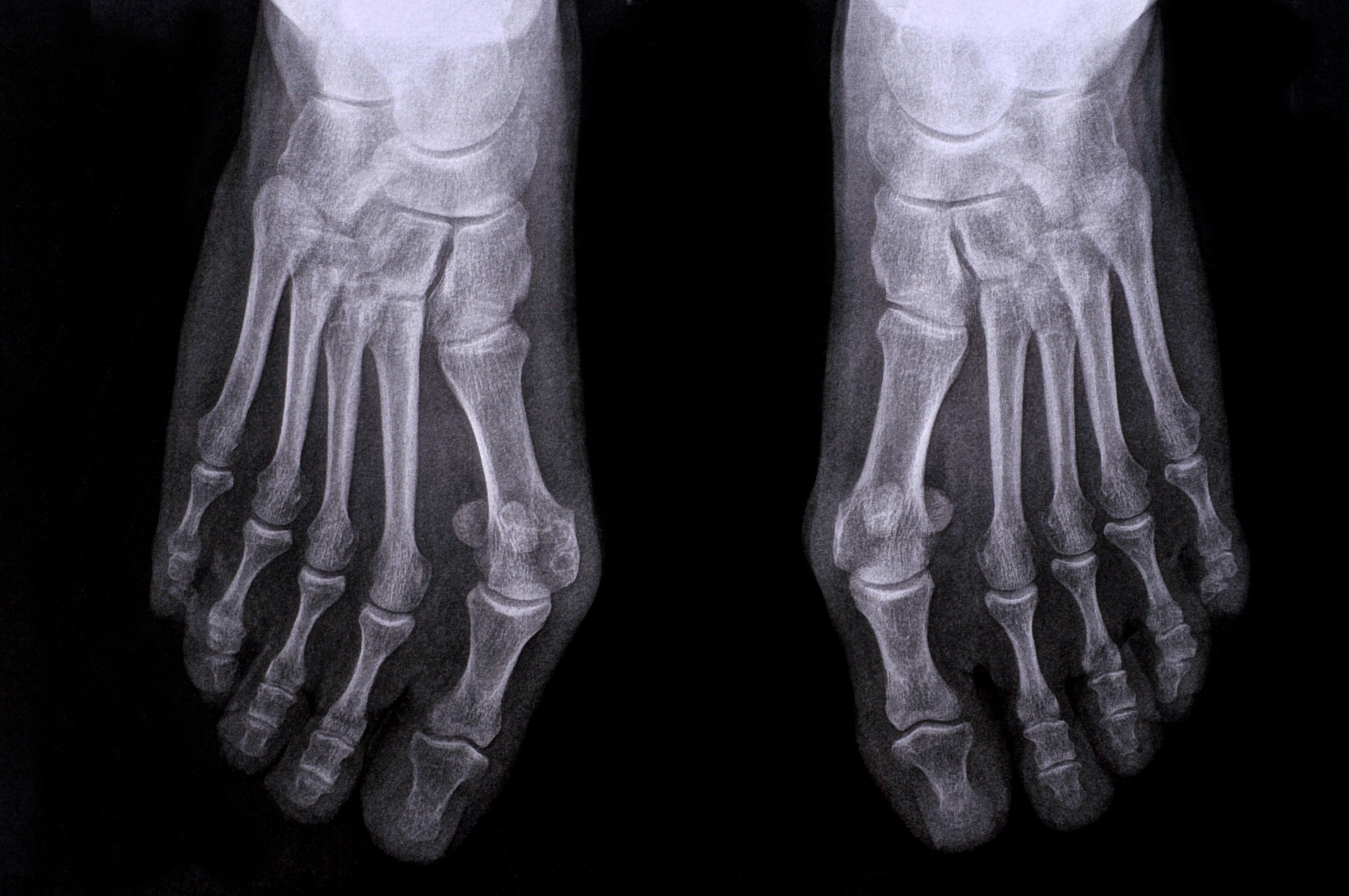
Hast du dich schon einmal gefragt, was diese knöcherne Erhebung an der Seite deines Fusses ist? Möglicherweise handelt es sich um einen Ballenzeh, auch als Hallux valgus bekannt. Obwohl ein Hallux valgus in den meisten Fällen relativ harmlos ist und oft keinen medizinischen Eingriff erfordert, kann er unbehandelt jedoch eine Menge Schmerzen und Beschwerden verursachen und deine Lebensqualität drastisch einschränken.
Möchtest du mehr über die Ursachen, Auswirkungen und Behandlungsmöglichkeiten eines Hallux valgus erfahren? Egal, ob du bereits betroffen bist oder vorbeugen möchtest, hier findest du alle wichtigen Informationen.
















